Teeth Whitening
Make your smile shine

Our teeth whitening treatments start from £532
Advanced teeth whitening
Dark or discoloured teeth can impact your confidence. We use Whitewash Laboratories’ high-performance whitening products for a healthier, whiter smile. Our peroxide-based gel helps you to achieve and maintain brightness in your natural teeth.
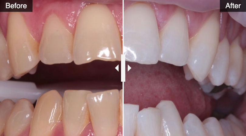
A brighter smile with professional teeth whitening
Whiter, brighter teeth can give you the confidence to let your smile shine:
Aesthetic excellence
Brighten and whiten your natural teeth with professional strength peroxide whitening treatments.
Designed by dentists
Our whitening gel was designed in consultation with dentists for easy application and a professional finish.
Made in the UK
Our vegan and cruelty-free tooth-whitening products are made here in the UK and use biodegradable packaging.
Minimise sensitivity
Our tooth-whitening gel is infused with potassium nitrate, calcium and fluoride to minimise tooth sensitivity.

BEAM Professional Whitening with hydrogen peroxide
We partner with Whitewash Laboratories to bring you dentist-designed ultra-stable hydrogen peroxide teeth whitening. Hydrogen peroxide is a natural bleaching agent that breaks down stains without damaging the enamel, leaving you with healthy, white teeth.
- Whiter smile: Hydrogen peroxide is a natural bleaching agent which works by oxidising stained or pigmented molecules in your teeth.
- Healthier teeth: The use of hydrogen peroxide in whitening doesn’t damage or change the structure of your natural teeth whilst it whitens them.
- Natural taste: Our teeth whitening gel won’t leave a bad taste in your mouth thanks to natural mint flavour, natural sweetener, and a neutral pH.
BEAM Professional Whitening with carbamide peroxide
In some cases we recommend Whitewash Laboratories’ carbamide peroxide teeth whitening. Carbamide peroxide is a natural, water-based bleaching agent that gently breaks down stains without damaging the enamel, leaving you with healthy, white teeth.
- Whiter smile: Carbamide peroxide whitening contains lower levels of hydrogen peroxide which oxidises stained or pigmented molecules in your teeth.
- Healthier teeth: The use of carbamide peroxide in whitening doesn’t damage or change the structure of your natural teeth whilst it whitens them.
- Natural taste: Our teeth whitening gel won’t leave a bad taste in your mouth thanks to natural mint flavour, natural sweetener, and a neutral pH.


What can I expect during my teeth whitening appointments?
Consultation
Begin your journey with a detailed examination and consultation. Our dentists will discuss your dental history and cosmetic goals to walk you through a personalised treatment plan for your teeth whitening.
Whitewash Laboratories teeth whitening kit
Your dentist may recommend a 6% hydrogen peroxide treatment or a 10% or 16% carbamine peroxide treatment. They will talk you through the instructions for your BEAM whitening procedure and answer any questions.
At-Home Treatment
Both the one-hour hydrogen peroxide gel and the overnight carbamine peroxide gels are designed to be applied and used in the comfort of your home. You will apply the get to the whitening trays and fix them in place around your teeth, then wipe away the gel in cold water after the treatment. You will receive detailed instructions from your dentist.
Post-treatment care
We give you comprehensive post-treatment care instructions and schedule follow-up appointments as standard, guaranteeing the longevity of your whitened smile.



Teeth Whitening FAQs
Is teeth whitening suitable for everyone?
Whitewash Laboratories BEAM whitening treatments are suitable for many people with cosmetically stained or pigmented teeth. Your suitability will be assessed during a consultation.
How long does the tooth whitening process take?
The duration varies based on the type of peroxide used. Hydrogen peroxide BEAM takes one hour to process, while carbamine peroxide BEAM processes in 4-6 hours overnight. The treatment is typically given and explained in a single appointment and then administered at home.
Does peroxide tooth whitening damage your teeth?
No, the concentration of peroxide in BEAM tooth whitening gel should not damage or substantially change your teeth. It works by oxidising stained or pigmented molecules.
Is tooth whitening painful?
No, tooth whitening treatment should not be painful at all.
How do I keep my teeth white?
Avoid staining and acidic foods and drinks during the treatment period. Maintain good oral hygiene practices, including regular brushing and flossing, and attend scheduled dental check-ups and hygienist appointments. You may also wish to use Whitewash Laboratories’ toothpastes and mouthwashes which are specifically designed for stain prevention and whitening. You may need top-up whitening treatments, which can be arranged in a follow-up appointment.
Is tooth whitening covered by insurance?
Coverage varies depending on your insurance provider and policy. Verify the extent of coverage with your insurance company. Our friendly reception team can assist you in navigating insurance-related questions.
Make your smile shine with us
Schedule a consultation today and take the first step towards a radiant and confident smile.